2013年2月28日木曜日

アプライアンス・シェル その2 (追記)

先日このブログで、アプライアンス・シェルという題で少しだけ紹介しました。 こちら

今日はその患者さんがいらっしゃるということで、浦和の歯科医院へ立会いに伺ってきました。







 


既に上下臼歯部は全てTEKに置き換わっていることや、これまでの他院での治療などが原因で最低限の侵襲でということで、シェルタイプで誘導することになりました。
 
 


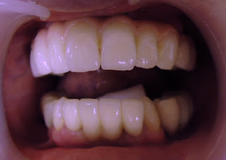
適合を確認し、さっそく接着します

接着後、チェアーを倒している状態での「噛んでください」のときです
全く咬みません

左側にシェルが接着されています

こちらミラーですから右左逆に見えますが
左側の側切歯から最後臼歯にかけてシェルが接着されています


リシェイピングエリアを記してあります
 
座位での「噛んでみましょう」の図です

「では、もう少し前で噛んでみましょう」の図です
 

「大丈夫そうです」と、患者さん

こちら右側ですが、こちらが患側であり
下顎骨下顎頭を引っ張り出したい方です
ですから、左右差で言うと、こちらが高位になります
 
現段階では左側は咬合紙が抜けます
というか、目に見えて咬んでいません
 
 
患者さんに具合を伺うと、「説明していただいたことが凄く良く分かります、大丈夫そうです」だそうです。
 
後日両側のバイト状態を確認しながら、状態を観察できればと思っています。


 そのときは、偏位に対する本人の受け入れ具合の確認に合わせて、ダイレクトボンディングによる犬歯誘導の確立をしてもらい、次のステップへ移行する予定です。

2013年2月27日水曜日

下顎骨下顎頭の適正位

下顎骨下顎頭の適正位などと、かなりの上段から振り下ろすタイトルですが。。。

立場もわきまえず、それでも複数の先生からの依頼を受け、多くの優れた先生方の意見を参考にしながら探っています。

数値を基準にして、そのズレからだけ答えを出そうとすると、適正数値自体が規制という壁となり、なかなか本質にたどり着けません。が、そこに「下顎頭があるべき位置」と「下顎骨のあるべき位置」と「口腔内容積」のあるべき姿をリンクさせていくと、ピカッと光って見えるものが出てきました。

来月から連載していこうと考えているものに、組み込んでいけたらと思っています。


昨夜遅くに家に帰ると「誕生日おめでとう~」と、子供たちが誕生日プレゼントをくれました。

誕生日って、一か月近く前に過ぎてるんですが。。。



家でも車でも使えるマッサージクッションです。

「これでまた、遠くまでドライブ行ってきて」だそうです。

そう、最近は疲れのためか走行距離がサッパリ伸びません。
せいぜい100km程度のお台場~湾岸グルっとコースで、以前のように片道300kmまでなら行けるなどが出来なくなっていました。

時間を作ってまたブラッと出掛けます。


何をもらって一番うれしいかと言えば、私は手紙ですし、次女は物心ついたころから、毎年私の誕生日など事あるごとに手紙を書いてくれます。

長女もたまに書いてくれます。

女性ならではですね。 

息子はといえば、小学生のときにサンタさんに宛てた手紙を私が持っているくらいです。。。


それでも昨夜は夜中まで、腰から肩、後頭部をグリグリやって休みました。


 

CTの活用

咬合というか、人の顎口腔系のあり方についての連載ですが、4月くらいから始めようと考えています。

医科でも革命のような風が吹きつつありますね。
「医者に殺されない47の心得、医療と薬を遠ざけて、元気に長生きする方法」



さっそく読ませていただきましたが、本当にその通りだと思いましたし、家族や会社の人たちには「変わり者」と思われていたかもしれませんが、以前から同じ内容のことを私なりに叫び続けていました。


さて表題のCTの活用ですが、先日紹介したJPIの手法によるCTの活用とは別のことです。

来月の中旬に歯科医師の学術セミナーがあり、CTを持っている人持っていない人にかかわらず、またインプラントをやるやらないにかかわらず、CTはどんな活用法があるのか?を考え紹介するセミナーの打ち合わせに、完全聞き役の黒子のような存在で同席してきました。。。



最新情報ではありませんが、国内の歯科医院の4%以上、都心部では5%以上の導入率で、さらにメディカル〇〇などを含めると相当数のCT撮影場所があり、今後はCT画像を基にした判断、治療計画があたりまえになっていくのかもしれません。

今日の話を伺っていた感じでは、CTが開発された当初とは随分と活用の幅が広がったように感じました。

来月はそのセミナーに出席する予定ですので、詳細はその時にでも報告します。


 

2013年2月25日月曜日

水鳥

優雅に見えても、幸せそうに見えても、上手くいっているように見えても、ほとんどの場合は水鳥のように見えないところで懸命にもがいているものだと思います。

頑張っている人の多くは、多少の不安があるなかでも上手くいくと何処かで信じてやっていくのでしょう。

私もそうです。

以前にも書いたことですが、私が仕事をする上でのモノの考え方の基本は

「蒔いた種のようにしか生えない」
「黙っていても、花には蝶、腐った魚にはハエが寄ってくる」

の二つです。


いずれも極端な表現ともとれますが、この目線で世の中を見ていくと、近い未来の予想は結構当たるものですし、自分に対する自責の基にもなるものです。


最近は何かと深く考えることが多く、先週末には古い友人から「完璧やみ期」と嘲笑されましたw


そんな中、週末はまた本を買いました。

先日のブログでは「次は現代小説を」などと言っていましたが、ここのところの自分自身の整理がつかない難しさが頭の中でグルグルしていると、空想の中の娯楽や小説ならではの文章を味わうといったことはどうでもよくなり、現代小説からは遠くなります。


そして、また買ってしまったのが山岡宗八「豊臣秀吉」と「新太平記」。。。






また歴史か!と、嘆きの声もあるかもしれません。 すいません。

私の日々の苦悩と似たような文言が、山岡宗八の本の帯に付いていたので、つい。。。
「今を生きるために」と。



秀吉に関してはこれまでかなりの関連書物を読みましたが、生まれたときから殿様の子という境遇ではないところからの大出世には、時代背景以上の理由があるように思いますし、著者によっては表現の仕方が異なるものが多いということも手伝い、読むたびにいつも新たな発見があって教わることが沢山あります。




尻切れトンボですが、今日はこれくらいで・・・ (引間先生風で)










 

2013年2月22日金曜日

アプライアンス・シェル

今日の午前中はCTによるTMDの撮影から、側頭骨関節窩と下顎骨下顎頭の偏位を適正骨関節隙を基準に数値化し、明確な誘導の方向と量を定めて顎誘導をするという、JPI手法に基づいた技工をしていました。



昼からはインプラント・オペ後のデンチャーが入っている状態から、そのデンチャーをシリンダーと連結して、固定式のTEKに改造するという治療に立ち会ってきました。





オステルから始まったそれは、思いのほか時間が掛かってしまい、夜7時からシェードとモールドの立ち会いのため、会社はタッチアンドゴーで通過しただけでした。



 

2013年2月21日木曜日

nanaco デビュー

ご存じ「nanaco」です。


これまで私はポイントプログラムといった類のものに全く興味がなく、nanacoに関しても無関心でした。

TカードはTSUTAYAで映画をレンタルするために、ずい分以前から持っていて、ファミリーマートで買い物するたびに「Tカードありますか?」と聞かれ、「あぁ、はい」といった感じで渡したり、渡さなかったりと、かなりテキトーでした。


それでも毎日のようにコンビニで買い物をしていると、それなりにポイントが溜まってきます。
セブンイレブンとファミリーマートでは、圧倒的にセブンイレブンでの買い物の方が多いのにもかかわらず、Tポイントは4,000ポイントくらいあります。。。

100円で1ポイントと考えると、恐ろしいですね。



セブンイレブンで、もしもポイントがあったら・・・などと考えもしませんでしたが、弊社スタッフから「nanacoならポイントが溜まる」と教えてもらい、毎日使うモノだしということでnanacoデビューしてみました。


1万円をチャージして使い始めましたが、これまでにない発見があります。

コンビに行くたびに財布にあるお金で払っていると、コンビニでいくら浪費しているかという感覚がありませんが、買い物のたびに1万円チャージしたnanacoの残金がレシートに記されるとなると、「えっ!? もぅ1万円が無くなるのか・・・」ということを知ることが出来ます。

伝わるでしょうか? この感覚。


営業活動ではありませんが、セブンイレブン派の方は是非nanacoをお試しください。
(nanacoは最初に300円掛かります)

 

2013年2月20日水曜日

本の話など

結局あれから、徳川家康はサクッと読み終えてしまいました。

伊達政宗との最後のやり取りは泣けました。


26冊を読んでいくうちには、細々とした事柄が史実と比べてどうなのか、実際にはどうであったかということは、どうでもいいことに感じてしまいます。


機会があったら、是非読んでみてください。



いまさらですが。。。
私の日曜日は池袋で咬み合わせセミナーでした。

明日は歯科医院で、治療計画に関する講義を頼まれています。

 

ウェルデンツ

 


場所 :名古屋

日時 :2013年2月17日


                       2013、2.18
WELDENZ(ウェルデンツ)とは?
 
 
 近年、金属アレルギーの問題や金属の高騰などによりメタルフリーが注目されているが、今回受講してきたウェルデンツとは薬事認可を受け(韓国、アメリカ、シンガポール、オーストラリアでも)特許も取得したメタルフリーやノンアレルギーを目的に開発された新素材の歯科用樹脂材料です。
 ウェルデンツは口腔内の厳しい環境下でも化学的に安定し、力学的特性、生体安定性にも優れたポリプロピレン共重合体でその長所は
     1、吸水率がきわめて低く衛生的である、臭わない(0.01%以下)
     2、強靭なため補綴装置を薄く仕上げることができる
     3、比重が0.94と軽く、装着感が良い
     4、加工性に富む
     5、柔軟弾性を有するため応用範囲が広い
     6、アレルギー反応を示さない
 短所としては
1、接着性がないため機械的維持に頼らなければならない
2、耐摩耗性に欠く
3、一時的に表面に色素が付着(唾液によりほとんどが分解)
4、表面塑像がおきやすい
5、定期的なメンテナンスを要する
PMMAなどよりも優れた点も多くさまざまな症例に対して応用可能と思われる。ウェルデンツは熱可塑性を有していて、熱めのお湯にフルデンチャーを入れると、薄く仕上げた口蓋部はグニャグニャになるほどで、この特性を利用して義歯をいれていると口腔内の温度によってより吸い付くように適合するという(オブラート効果)
また、歯冠色とガム色がそれぞれ3色ずつあり主な応用例として
1、ホワイトクラスプデンチャー(歯牙や床にはウェルデンツを使用したり人工歯やアクリルレジンを使用することも可能)
2、ノンクラスプデンチャー(口蓋部の床の厚みは0.5㎜以下でも制作可能)
3、コーヌスデンチャー
4、インレー、アンレー/内冠アタッチメント
5、コア(平行性のないポストでも柔軟素材のため深部まで再現可能、)
6、着脱式ブリッジ(隣在歯を削ることなく制作可能)
7、硬質レジンジャケット冠(保険適用、割れないジャケット冠が制作可能)
8、インプラント アバットメント・上部構造体
9、ナイトガード
 などがあげられるが、このウェルデンツは他材料との接着性がなく、人工歯には維持孔を掘り機械的維持をつける。ウェルデンツはどうしでも化学的接着には条件があったりと、今までの材料とはできること、できないことがかなり違う。ウェルデンツは開発されてまだ日が浅く、アイデア次第でさまざまな応用が利き、まだまだ分からないことがある分未知の可能性を秘めているとも感じた。早くウェルデンツを作ってみたい、使ってもらいたいと思う魅力を持っている。




DT. 野崎裕介

2013年2月18日月曜日

週末のセミナーなど

土曜日は午後から咬み合わせ臨床実習ということで、弊社スタッフの佐野と二人で浦和の歯科医院にいました。

日曜日は池袋で咬み合わせセミナーでしたが、その前夜祭というか「臨床相談会」というのがあり、その日は浦和の歯科医院がその会場になっていました。

臨床が終わってそのまま夕方から21時ころまで「臨床相談会」という名のセミナーのようなものに、佐野と一緒に同席していました。





夜は夜で資料の整理だのイラストレーターでの作画だの、夜なべをしながらユラユラしました。

翌日曜日は9時から会場の準備などで池袋に集合なので、朝は7時頃に起き、8時には大宮駅に着いていました。

少し早いな。。。と思い、湘南新宿ライナーに乗るほどでもないので、各駅の埼京線で行くとちょうど良いだろうということで、15分前くらいに池袋に着く埼京線に乗りました。

睡眠不足も手伝って、戸田南までは覚えているのですが、次に気が付いたときは新宿でしたw

しかも、折り返しの乗客が結構乗っていたので、新宿到着後しばらくそのまま寝続けたようです。

折り返しにそのまま乗っても遅くなるだけなので、山の手線で池袋まで戻りましたが、結局遅刻w


それでも、勉強熱心な先生方と共に有意義な時間が過ごせたと思っています。




 

2013年2月15日金曜日

今日の出来事 その4  など

今日の出来事 その3 からの続き

誰が何処でどうなろうとロシアに火の玉が落ちようと時間は無情にもすすみますが、昨日はその実が何であるかは関係なくバレンタインデーでした。

家に帰っても娘たちから甘いモノ攻めをされ、いつになく多くの甘いモノに囲まれるなかで、各ステージでの人との関わりも含めた自分の責務を強く感じ、まだまだ頑張らねばと思わされます。



昨日は佐野と大宮共立病院附属の「のぞみ」へ出掛け、先日咬合採得を済ませたものを、排列して試適してきました。 

試適といっても上顎の臼歯部はワックスです。



写真を見ると水平ラインがズレているようにも感じますが、眼窩上縁は揃っているので咬合平面の修正が必要になるように思っています。写真を見ると患者さんが静止しているように見えますが、実際はずっとタッピングし続けています。

その条件下で再バイトを4回採りなおし、今回の試適で得た情報をもとに手を加え、次回もう一度試適します。。。

その先ですが、いったん完成させた義歯でタッピングポイントをシリコンで採る予定です。

口腔内での調整が出来ないことを前提に、歪み、ズレなどをシリコンバイトに収め、咬合器上で最終調整しセットできればと思っています。




 

2013年2月14日木曜日

セミナーレポート

~光機能化インプラント治療の検証~

光機能化サミット2013
光機能化技術、世界に先駆けたコンセンサス作りと発信
 

オープニング公演:小川隆広教授

講演 :大竹敦先生、北島一先生、丹野努先生、寺西邦彦先生、渡辺昌孝先生

場所 :新宿NSビル スカイカンファレンス

日時 :2013年2月10日






インプラント体はメーカーで生産されてから、オペ日にチェアサイドに届くまで普通は数ヶ月かかってしまう。
在庫物に関してはなおさらで、それは流通上やむを得ない。
しかしその事実は科学的に問題があり、チタンの表面が生産から時間が経つにつれ酸化し汚染してしまうのだ。
それは表面が疎水性に変化していき、インプラント体と血液の「ヌレ」が阻害され、
オペが成功し、一見オッセオインテグレーションが成立しても、インプラント体と骨の接触率は50~60%だということが報告されている。
現代流通しているインプラント体の多くは第二世代と言われ、初期のブローネマルクに見られるようなマシンサーフェイスでなく、
メーカーによって様々なラフサーフェイスが与えられている。(HAは除く)
それらのインプラント体の進化によって2000年以降、飛躍的に初期固定、予後サバイバルレートが向上したが、
実はそのような事実がある意味、黙認されていた。

光機能化技術はそのネガティブな要因をぬぐい取る最新の技術です。

「インプラント体に特定の波長の光線を当てて、酸化物を除去しチタンの劣化を復元する技術」
UCLAの小川孝宏教授が研究開発された全く新しい手法で、最初の症例から3年のフォローアップを迎え
これから世界標準化すべきと注目されている。

・・・そのような話を取引先のドクターから予備知識として聞いていて、今回初めて当サミットに参加しました。
毎年あるようで、現在も研究が続けられていて、最新のレポートを小川教授よりレクチャーいただき、最後に拍手によって会員のコンセンサスを取る、いわば世界最先端の集いです。
サヤカの取引先のドクターも臨床報告として講演されるとのことでじっくり聴講してきました。

講演された先生方は5人で皆さん臨床家です。著名な寺西先生も講演されました。
光機能化を取り入れてどのように変わったか?効果はあるのか? と大まかに言うとそのような内容だったと思いますが、
皆さん学会レベルの発表で、数値を細かくグラフにして発表されていました。臨床の仕事の合間にやられてるのか、頭が下がります。
オッセオインテグレーションを数値で客観評価する手段として「オステル」という計測機器があり、研究だけでなく臨床にこそ使いたい価値がある今後必須なアイテムだと感じました。

光機能化をすれば、あらゆるケースでオペ直後より2~3ヶ月後、オステルの数値が上がる。(例外として埋入トルクを強くかけて初期固定が得られた場合、希に落ちることがある。)
オッセオインテグレーションが強固になっていくということである。

動物実験では骨接触率が98.2%を達成できると報告があり、例えば、骨質や骨量に問題がありインプラントの保持や初期固定に難がある症例でアドバンテージがある。
また、光機能化されたインプラント体の表面は骨芽細胞の成長が3倍早いとの基礎研究が有り、治癒期間、イミディエイトや荷重開始への期間が短縮される。
近年の低侵襲の要求や治療期間の短縮といったニーズに答えられる技術であるといえる。
低侵襲、リスク回避のためにショートインプラントやナローインプラントを使用する際に安心感が生まれるということ。
糖尿病の患者は健常に比べて半分ほどのオステル値しか示さないが光機能化をすれば従来の健常者を大きく抜くほどの数値を示す。

そのような一見いい事だらけのような夢の技術もすべて数値を絡めて客観的に皆さん発表されていた。

また、最新の使用法として、ヒーリングアバットメントやクラウンに照射し、表面の汚染を改善することによって、軟組織との関係が良い状態になるという。
それは今後のさらなるデータ収集が求められる。
インプラント周囲炎の問題で、アバットメントと軟組織の結合の向上は予防という面でとても大きく臨床的な意義がある。

概念を覆すようなデータを小川先生が最後に提示した。
通常のオッセオインテグレーションで作られた骨は、実はもともとの骨より弱いことが最新の研究で分かった。(写真で見ると、薄く粗造に見える)
光機能化処置したオッセオインテグレーションは厚み、強さ、大幅にUPすることが分かった。

一日を通して講演を聞いて、もはや光機能化をやらない理由はない。今後必須であると思いました。

まとめとして、演者の方々が述べていた言葉で印象的だったのは、
「今までも十分な成功率、生存率をを当院は誇っているので、そんな高価な機械はいらない?、いやいや、知らない人は強いが、怖い」
「患者さんに対して、歯科医療の尊厳としてするべきである」
「日常臨床で強い安心感を得られる!」

今後はさらなる研究が続いて、例えば「口腔内用・光機能化装置」などもできるとのこと。
そうすれば、既にオペされてる部分の改善や、アバットメントやクラウンのアフターケアなど臨床的に様々な使用法ができそうです。

光機能化技術は、日本人が開発し、日本人がいち早く臨床応用している、日本発の技術であること。
先日ドイツで講演されたところ、拍手喝采だったそうだ。今後世界標準になるであろうこの技術の発信国であることに誇りを感じ、信頼のある学術を発信していきましょう。
そんな言葉で会は締められました。

チェアサイドの処置であるので、ラボとしては知識として持っておくに過ぎないかもしれませんが、この会に集まった先生方は間違いなく最先端であること。
そんな先生方と共通認識を持つことは歯科医療としての尊厳そのものであると感じました。



DT. 恩田典之

2013年2月13日水曜日

ジルコニア・セラミック 立会い

今日は午前中にe.maxで補綴する患者さんとの立会いということで、大宮の歯科医院に伺ってきました。

その患者さんとはサラッと終わったのですが、そのあとに以前に作ったジルコニア・セラミックの立会いもしていってよということで、延長してお邪魔させてもらいました。


上顎は6本インプラントのジルコニア・セラミックのPIB、下顎の両側遊離端もそれぞれPIBで、今回は唯一残っているご自分の歯のBrでした。

 
 

 写真がヘナチョコですいません。。。
 
先日設定を変更したのを忘れ、そのまま撮影してしまいました。
 
 マイクロで適合状態を確認しているところです
 
この後、もっと適合するはずだということで
先生は細かな内面調整を始めましたが
 
 
 
 ポンティック部は骨の退縮が著しく
長い歯になってしまうということで、
セラミックのガム色で補っています
 
意外に良い感じになりました






【号外】
先日福岡に行ったとき、天草の生田歯科医院の藤原康生先生と宮崎のあおしま歯科クリニックの塚本徹先生と記念写真を撮りました

 

2013年2月12日火曜日

本の話など

何度も紹介している山岡荘八の徳川家康ですが、とうとう最後の26巻の終盤になっています。
読み進めるのがもったいなくて、物語が終わってしまうのが惜しくて、なかなかサラッと読み進められません。今読んでいる、その時代のその年に、家康は永眠すると分かっているだけに、なおさら文字を追う目が霞みます。

家康はゆっくり家で最後を読み終えたかったため週末には持って出かけず、出がけに駅の本屋で一番手前にあった本を買って読みました

「脳男」

どうやら有名らしいですね?
私は全く知りませんでしたが、家の人たちは全員が知っていましたw
本の感想は・・・あくまでも本としてはですが、面白くなかったです。宮部みゆきのような奥行きも感じませんでしたし、他の江戸川乱歩賞の作品のような胸にグッとくる部分もありませんでした。。。
ただ、薄っぺらな内容だけに映像化はしやすいのだろうなと、家に帰って皆の話を聞いて妙に納得したところもあります。 



家康はどうしようかな、読んでしまおうか、最後のところはとっておいて
床に積んである宮部みゆきの新作にいってしまおうか、などと変なこと考えています。




昨夜だったか、金が暴落などとフィリップに出ていたので
どれだけ落ちたのか?と、今見てみたら  5,269円/g (前日比 -42円)  でした。 こちら

あんまり下がっているという感じはしませんね。


先のことを考えて、今週末も新たな動きにでます。 野崎が。

2013年2月9日土曜日

つれづれに

先週の日曜日、私と佐野は渋谷の歯科医師会館で催されたセミナーに参加してきました。
講師の山田一夫先生はじめ、笠茂先生、三浦靖先生と、書籍の執筆など多岐にわたって活躍されている先生が集まり、内容の濃い一日でした。

このセミナーは全5回になっていて、今回は第1回目のものでした。

昨日の金曜日の午後は浦和の歯科医院で咬み合わせ臨床実習でしたが、すぐ近くの歯科医院で咬合の違和感を訴える患者がいるので、CTデータから適正な骨関節隙を割り出して咬合器にマウントして見せてほしいと言われていたので、夜になってそちらの歯科医院へもお邪魔してきました。


そんなことをしているとき、咬み合わせセミナーでお世話になっている京都の先生から訃報が届き、今日明日と飛行機で福岡入りの予定でしたが、今日は新幹線で東京~京都~高槻で通夜にうかがい、高槻~京都~福岡と移動になりました。



 [ 追記]

浮浪者などの独りの人は孤独の苦しさは感じないといいます。
本当の孤独とは、そばにいる人と関われない孤独感や、いるはずの人がいなくなった孤独感だといいます。

今日の訃報は先生の奥様が57歳で突然他界されたもので、先生の悲しみ苦しみが深く胸にひびきました。

死は万人に等しく与えられている宿命ですが、自分が死ぬということは、ある意味では死んだらそれまでです。潔く美しく生きた人の死は、残される側の人に大きく影響するものだと、今日あらためて思い知りました。





京都から新幹線に乗り、博多へは19時7分に到着。
せっせと明日のファイル作りをしています。。。


 

2013年2月6日水曜日

インプラント イミディエート その5

インプラント イミディエート その1   その2  その3  その4からの続きです


今日は午前中に歯科医院へ立会いに伺い、そのTEKの修正を手伝ってきました。



口腔内に入っていた6番相当部位までのTEKを外したところ
All-on-4での前方4本のインプラントに即時荷重TEKを装着していました
咬合は後方歯群を完全に離開させていました
 
左右に置かれているものは、後方2本のインプラントに絡める上部構造体(TEK)です

口腔内に入っていたTEKに適合させたところ
 


瞬間接着剤で仮止めし、溶剤処理後に即重で隙間を埋めていきます
 
閉じてしまった真ん中のアクセスホールは、固定後に開け直します
 
 
最後方のインプラントは前方4本に合わせてマルチユニットが入っているので、
同様にマルチユニットのテンポラリー・シリンダーを口腔内で仮止めします


位置関係の固定が終わったところ
 
 
ここから咬合面や粘膜面を調整し、全体的な形態も修正していきます
 
 
最後は口腔内での接触状態を確認し、咬合調整をして終了しました





咬合が安定したのち、TEKを利用して上下のバイトを咬合器に移し、最終補綴に入ります。